Главная Карта сайта
Алескеров Эльчин Шахинович

Главная →

Имплантация

Имплантация

Имплантация

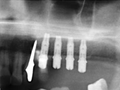
Одноэтапная имплантация

Одноэтапная имплантация

Синус-лифтинг

Синус-лифтинг